Emma Gulliver
This case explores a congenital cause of a mass lesion in the tongue of a senior feline.
Clinical history:
Jasper, a ten-year-old male neutered Tonkinese x Rex cat, presented for an ulcerative lesion on the dorsal surface of the tongue (Figure 1). He had a history of self-trauma and scratching at the face. The lesion was surgically excised and submitted for histopathological examination.

Laboratory findings:
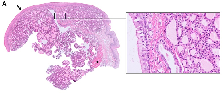
The submitted tissue consisted of a 2 x 2 x 4 mm fragment of glossal mucosa (Figure 2A, arrow) and submucosa, with some deep skeletal muscle (Figure 2A, asterisk). In the superficial portion of the submucosa, there was a duct-like structure, lined by epithelium that was variably stratified squamous and parakeratinised, to pseudostratified columnar and ciliated (Figure 2B).


Expanding the submucosa adjacent to this was a multilobular aggregate of well differentiated epithelial tissue resembling thyroid gland. This was characterised by follicular structures filled with smooth, eosinophilic material resembling colloid and lined by a single layer of low cuboidal epithelial cells (Figure 2C).
Diagnosis:
Thyroglossal duct remnant and ectopic thyroid tissue.
Discussion:
This is an uncommon mass lesion of the tongue in an older cat and is a result of anomalous embryonic development. The thyroid gland first develops around 17-18 days gestation in the feline foetus and is derived from the pharyngeal pouches of the embryonic endoderm. As the thyroid bud migrates caudally from the base of the oropharynx, its path is marked by the thyroglossal duct. This duct usually atrophies in postnatal life and the site of origin of these structures is denoted the caecum linguae. The pharyngeal pouches also give rise to the ultimobranchial bodies, from which the parathyroid tissue is derived and fuses with the thyroid tissue as it migrates, around 19-21 days gestation1.
Aberrant migration of the embryonic thyroid gland may lead to develop of ectopic (‘accessory’) thyroid tissue and failure of the thyroglossal duct to regress postnatally may lead to a persistent duct, which can form a cystic lesion. Ectopic thyroid tissue has been reported rarely in cats including formation of nodular to cystic lesions on the midline of the base of the tongue2,3. Ectopic thyroid tissue is relatively more common in the dog and can be found anywhere between the base of the tongue and the base of the heart4. From the limited reports in the literature, these lesions are usually amenable to surgical excision. It is reported widely in humans and affected people are usually euthyroid, with ectopic tissue generally present only at one site.
Considering Jasper’s signalment and the gross appearance of the lesion, other differential diagnoses include eosinophilic granuloma, squamous cell carcinoma, plasmacytic stomatitis/glossitis, proliferative granulation tissue secondary to trauma, viral papilloma and foreign body. Histopathology allowed these other differential diagnoses to be excluded. A six-month follow up on Jasper indicated that there was no clinical concern for hyperthyroidism. The ulcerative lesion had healed, and he had stopped pawing at his face following the surgery.
References:
1. Knospe C. Periods and stages of the prenatal development of the domestic cat. Anatomia, histologia, embryologia. 31:37-51, 2002.
2. Patnaik AK, Peterson ME, Hidgon A. Ectopic lingual thyroid tissue in a cat. Journal of feline medicine and surgery. 2:143-146, 2000.
3. Reed TP, Brisson BA, Schutt LK. Cystic ectopic lingual thyroid tissue in a male cat. Journal of the American Veterinary Medical Association. 239:981-984, 2011.
4. Maxie G. Jubb, Kennedy & Palmer’s Pathology of Domestic Animals. 6th ed. Elsevier Health Sciences. 2015.
Acknowledgements to Dr Simeon Pollock and Dr Zachary Hon at Glenfield Veterinary Clinic for their submission and clinical follow up.