KATHRYN JENKINS
Dogs affected with congenital macrothrombocytopenia (CMTP)have the potential to mimic immune-mediated thrombocytopenia. CMTP is a benign inherited anomaly in healthy dogs, and is one to watch out for in practice. Affected dogs have persistently low platelets counts, in the absence of clinical signs, with frequent large sized platelets. Correct identification of these patients avoids a potential misdiagnosis of immune-mediated thrombocytopenia.
Cavalier King Charles Spaniels are the most well-known breed associated with CMTP. This is related to a mutation in the β1-tubulin gene, leading to defective fragmentation of megakaryocyte cytoplasm in the bone marrow and resulting in frequent macroplatelets in peripheral circulation. Around 30% – 50% of the population are reportedly affected, so there is a strong chance of seeing this interesting anomaly in clinical practice.
CMTP has also been documented in many other breeds of dogs, including Norfolk Terrier, Cairn Terrier, Jack Russell Terriers, Japanese Akita, Cocker Spaniel, Poodle, Beagle, Labrador Retrievers, Labradoodle, Boxer, Chihuahua, Bichon Frise, Shih Tzu and Maltese Terrier.

Normal platelets can vary in size and shape, with no clinical significance, but in general platelets in dogs appear smaller than red blood cells. Our feline friends have slightly larger platelets, most being of similar size to red blood cells or smaller.
Macroplatelets (or giant platelets) in dogs, are defined as platelets larger than a red blood cell. These platelets are often large and round (Figure 1), but can also appear elongated and worm like (Figure 2), or even pellet-shaped.
Finding a low number of macroplatelets can be a normal physiologic response to true thrombocytopenia. This indicates active thrombopoiesis, an appropriate response from the bone marrow to consumptive disorders, increased utilisation and immune-mediated destruction. Macroplatelets are not expected with thrombocytopenia secondary to splenic or microvascular sequestration or decreased production in the bone marrow. Occasional macroplatelets may also occur with other less common disorders, such as dysmyelopoieisis (e.g. Cobalamin deficiency or myeloproliferative disorders), Glanzmann thrombasthenia (reported in Giant Pyrenees, Otterhounds), and May-Hegglin anomaly (reported in a Pug dog).
In contrast, dogs with CMTP appear clinically well, with a thrombocytopenia comprising of many large platelets (resulting in an increased mean platelet volume and normal plateletcrit). These large platelets function normally in affected dogs. Analyser and manual platelet counts in these cases are persistently decreased, and often range between 50 -100 x109/L, but can be as low as 25 x109/L. Although spontaneous bleeding due to thrombocytopenia may occur when platelet numbers are < 30 x109/L, this is not expected in cases of CMTP, as overall platelet mass (and thus function) is normal in these cases, despite the low platelet counts.

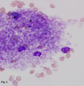
A blood film examination is important to identify morphologic abnormalities that analysers are unable to detect. In cases where the analyser flags thrombocytopenia, a blood film examination is essential to assess whether the analyser platelet count is accurate or not. The most common cause of pseudo-thrombocytopenia in both cats and dogs, is platelet clumping (an artefact of sampling and activation of the clotting process). Platelet clumps can be detected at the feathered edge of a well-made blood film (Figure 3). In cases of CMTP, the blood film examination will identify frequent large platelets, both in the feathered edge and monoloayer.

Genetic testing may also help distinguish congenital from acquired thrombocytopenia, with β1-tubulin defect molecular testing now available (www.orivet.com).
Inherited macrothrombocytopenia should be on the differential list when there is an unexpected thrombocytopenia in an otherwise healthy dog, especially in the Cavalier King Charles Spaniel breed. If macroplatelets are seen on blood film examination, submission of the blood film with your CBC to your local reference laboratory will provide added reassurance that platelet mass appears normal, and that further searching for underlying causes of thrombocytopenia is not necessary.
References:
Bodie, K. et al. Asymptomatic macrothrombocytopenia in a young pure-bred Beagle dog: A Case Report. Tox Path. 39: 980-7, 2011.
Davis, B. et al. Mutation in beta1-tubulin correlates with macrothrombocytopenia in Cavalier King Charles Spaniels. J Vet Intern Med. 22: 540-5, 2008.
Gelain, M.E et al. Macrothrombocytopenia in a group of related Norfolk terriers. Vet Record. 167: 493-4, 2010.
Hayakawa, S. et al. A novel form of macrothrombocytopenia in Akita dogs. Vet Clin Pathol. 45: 103-5, 2016.
Pedersen, H.D. Idiopathic asymptomatic thrombocytopenia in Cavalier King Charles Spaniels is an autosomal recessive trait. J Vet Intern Med 16: 169-173, 2002.